• Segunda à Sexta: 08:30 às 12:00h - 13:30 às 18:00h
  • Telefone: (42) 3532-7604 (Whatsapp)

Especialista em

Exames Dentários

Conheça os exames realizados com mais freqüência e suas indicações

Radiografia Panorâmica

Possibilita uma visualização ampla dos dentes e dos maxilares com inclusão da articulação temporomandibular e dos seios maxilares.

Radiografia Periapical

Permite visualizar áreas mais restritas, associadas a grupos de dentes, obtendo uma visão mais rica em detalhes e sem distorções ou sobreposição de estruturas anatômicas. Indicada para visualização da coroa e da raiz dentária, bem como as estruturas de suporte dentário.

Radiografia Interproximal ou Bite-Wing

Permite visualizar áreas mais restritas, associada a grupos de dentes, obtendo uma visão mais rica em detalhes e sem distorções ou sobreposição de estruturas anatômicas. Indicada para o diagnóstico de lesões de cárie, avaliação da adaptação de restaurações e próteses, avaliações de perdas no suporte ósseo do elemento dental.

Técnica de localização (Técnica de Clark)

Dissociação de canais radiculares e localização topográfica vestíbulo-lingual/palatina de dentes retidos, patologias e corpos estranhos.

Radiografia Oclusal

Complementar ao diagnóstico de outras técnicas radiográficas. Diagnóstico de controle de abertura da sutura óssea palatina mediana. Pesquisa de cálculo de glândulas salivares. Pesquisa de fraturas dentárias e ósseas. Localização de dentes inclusos. Avaliação e localização de lesão do osso.

Documentações Ortodônticas

Tratamento das deformidades faciais Tratamentos ortodônticos/cirúrgicos.

Telerradiografia

Serve para embasamento no tratamento ortodôntico pela análise cefalométrica. Documentar assimetrias craniofaciais.

ATM

Dor na articulação temporomandibular. Dores na musculatura da face e da cabeça. Problemas de oclusão dental

P.A. Seios Maxilares (Waters)

Pesquisa de sinusite.

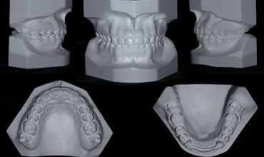
Modelos Ortodônticos

Auxiliar no diagnóstico e controle dos tratamentos ortodônticos/cirúrgicos Confecção de aparelhos ortodônticos fixos e móveis. Para confecção de placas de relaxamento muscular e clareamento dental.

Fotografias Odontológicas

Auxiliar no diagnóstico e controle dos tratamentos ortodônticos/cirúrgicos.

Análise Cefalométrica

Auxiliar no diagnóstico e controle dos tratamentos ortodônticos/cirúrgicos.

Radiografia de Mão e Punho

Auxiliar nos tratamentos ortodônticos/cirúrgicos. Avaliação da maturidade óssea e previsão do estágio do crescimento da criança e adolescente.

x

Olá em que posso ajudar?

Mande sua mensagem